Removables Dental Lab in Albuquerque
Full & Partial Dentures
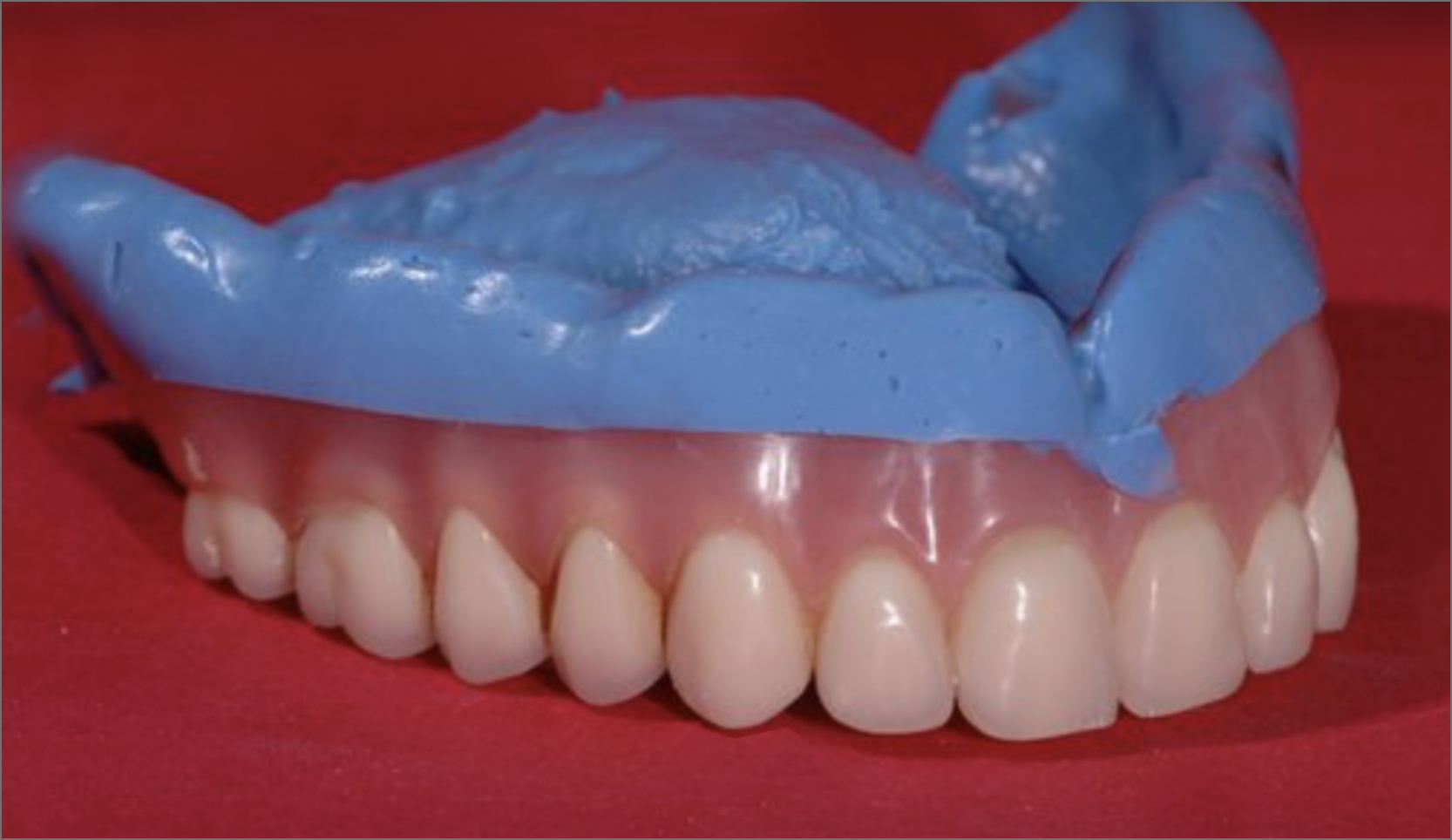
Wiand custom full and partial dentures will help your patients to smile again! As A’s experts in dentures, we know exactly what you and your patients expect when it comes to conventional full and partial dentures. At Wiand Dental Lab, we use SR Ivocap® Injection for every case we process because it results in a precision fit for your patient. SR Ivocap® Injection quality dentures set the standard for aesthetics, comfort, fit and function.
It starts with recording all facial information to recreate the smile. We then restore the natural contour of the lips and facial muscles, leaving your patient feeling and looking like their younger selves. Premium Ivoclar denture teeth are used to reflect light through several layers to mimic natural teeth and are made of quality materials that resist wear, chipping, and staining. The denture base is formed using state of the art equipment.


Precision Attachment Partials
Precision attachment partial dentures are another area of focus that we have mastered. Our partial dentures contain an attachment(s) that secure the denture onto a crown with the corresponding attachment. This helps reduce food traps, give the patient maximum comfort, aesthetics, and ease of use, and holds the denture securely in place for a confident smile.
Wiand Dental Lab precision attachment partial dentures typically drop right in without an adjustment. We can accomplish this by focusing on the basics and paying attention to detail throughout every step in the process. Similar to our implant work, our technicians complete these dentures under magnification to achieve precision fit. We’ve had experience with just about every type of attachment on the market and can guide you on what we’ve seen work well depending on the specifics of your case. All precision attachment partial dentures are processed with SR Ivocap® Injection as well.
DuraCetal® Flexible Partials
Wiand Dental Lab has turned dentures into a truly cosmetic option for many patients through the use of DuraCetal material. DuraCetal is a tooth-colored resin that comes in the Vita shades. For the best aesthetics, Duracetal Clasps can be added to DuraCetal, Chrome, Nylon Cand/or Acrylic Partials. In addition to DuraCetal’s beauty, it is strong, durable, bio-compatible, bacteria and stain resistant and has a “Snap Fit” for comfort. For patient’s that absolutely do not want a metal framework perhaps due to allergy or holistic preference, DuraCetal clasps and frames are the solution. It’s a great choice for your next denture and will make the most particular patient happy!


DuraFlex™ Flexible Partials
DuraFlex™ flexible partial dentures are an excellent alternative to an acrylic interim partial. The denture base is thinner, the clasps flex into place and are somewhat self-adjusting. Similar to Valplast, DuraFlex™ is a flexible and monomer-free thermoplastic dental resin. Our DuraFlex™ flexible partial dentures are made with the highest quality and are comfortable for your patients and is intended for the fabrication of temporary partial dentures of small to medium size. Metal frame partials remain the standard for long-term restorations. They are not intended to be used as a unilateral restoration. Restoration of the unilateral edentulous space must utilize a bilateral framework design. For temporary time periods and comfortable fit, DuraFlex™ flexible partial dentures are the perfect solution for your patients.
VisiClear® Flexible Partials
VisiClear® is an advanced thermoplastic we use to fabricate clear flexible partial dentures and clasps. It is semi-transparent and uniquely designed to disappear in the mouth, improving esthetics for your most discerning patients and those who prefer a metal-free option. VisiClear is stain resistant and has low moisture absorption. This lightweight framework is comfortable to wear, easy to adjust chairside if needed and relineable.


Dual Laminate Night Guards
With a Erkodent® dual laminate night guard, you can have the best of both worlds, comfort for the patient and strength to protect dentition. Our dual laminate night guard is fabricated from two separate materials and is self-adjusting resulting in a precise fit. The interior laminate layer is 1mm and soft to provide a comfortable fit. The harder external 2mm occlusal layer provides long lasting durability.
Our Erkodent®dual laminate night guard is made with a positive pressure forming machine rather than vacuum former. This allows for the tightest night guard available. This night guard is designed for patients that have moderate to severe night grinding or light clenching. They are lower in price, less bulky and have a faster turnaround. We highly recommend them for All-on-X and C&B patients.
Thermoplastic Night Guards
CLEARsplint™ is a clear night guard with flex made of modified composite powder and liquid which is press packed. The material is amine free so it will remain clear and never yellow with age. A CLEARsplint™ thermoplastic night guard is self-adjusting when placed in hot water before inserting in the mouth. It is also MMA free and is, therefore, non-allergenic. CLEARsplint’s™ wearability, comfort, and fit are second to none.
The dimensional stability of our CLEARspint™ night guards results in fewer or no adjustments. Ramps and guide planes can be added to reposition the mandible. And chairside additions can be made with cold cure acrylic. They are the ideal night guard choice for most patients.


Hard Night Guards
Hard Night Guards are Acrylic Guards that are waxed and processed just like our dentures. They are fabricated with clear acrylic and heat-cured for maximum strength. Prescribe the hard acrylic night guard for your patients that require a rigid night guard with absolutely no flexibility. It can easily be repaired and is also easy to add to should you need to adjust the vertical. All night guards are constructed to your occlusal plane specifications on the upper or lower arch. We create our hard night guards using the SR Ivocap® Injected System because we have found it to be the most accurate on the market.
Relines & Repairs
Wiand Dental Lab offers same and next day services for our regular local clients as a courtesy to your patients. Simple acrylic repairs, heat-cured relines and dentures with attachments that need to be relined around can be completed same day. Next day repairs include adding a tooth or clasp to a partial, soft relines and laser weld repairs. All same/next day repairs need to be scheduled in advance with our front office and then ready and waiting by 9am to be returned by 4pm the same/next day.

